+ de 25 anos de experiência em Clareamento Dental aqui em Curitiba, boqueirão
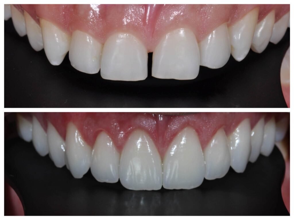
Um sorriso branco e luminoso é um dos desejos mais comuns entre nossos pacientes em Curitiba, pois ele rejuvenesce a aparência e eleva a autoconfiança. No entanto, com a rotina agitada e o consumo de alimentos que amamos, como o café e o açaí, é natural que os dentes fiquem manchados e escurecidos. Na Fama Odonto, oferecemos o clareamento dental profissional, a solução definitiva para quem busca resultados eficazes com total segurança. Nossa equipe de especialistas no Boqueirão entende que clarear os dentes é um procedimento de saúde. Por isso, cada etapa do tratamento é supervisionada, garantindo não apenas a conquista de um sorriso mais branco, mas a preservação da saúde do seu esmalte dental.


Sob a liderança do Dr. Luiz Fernando Toscano Castro e Dr. Dalton Sato Oku, a FAMA ODONTO está sempre pronta para receber você e sua família.
Clareamento Dental em Curitiba: Sorriso Mais Branco e Saudável na Fama Odonto Boqueirão
R. Prof. João Soares Barcelos, 2598 - Boqueirão, Curitiba - PR, 81670-080
(41) 99642-6483
Por que Fazer seu Clareamento Dental na Fama Odonto em Curitiba?
Em um mercado inundado de promessas de clareamento rápido, a escolha por um tratamento supervisionado por um dentista é um ato de responsabilidade com a sua saúde. Na Fama Odonto, a segurança do paciente de Curitiba vem sempre em primeiro lugar, e nosso protocolo de clareamento reflete esse compromisso. O grande diferencial do nosso tratamento começa antes mesmo do gel clareador ser aplicado. O primeiro passo é sempre uma avaliação diagnóstica completa. Em nossa clínica no Boqueirão, verificamos a saúde de cada dente e gengiva, pois aplicar um agente clareador sobre uma cárie ou uma gengiva inflamada pode causar dor e danos irreversíveis. Essa avaliação inicial é o que diferencia um procedimento profissional de um kit de farmácia.
Além da segurança, a eficácia é um pilar do nosso trabalho. Utilizamos géis clareadores de grau profissional (peróxido de hidrogênio ou peróxido de carbamida), com concentrações muito mais potentes e eficazes do que qualquer produto de venda livre. Esses produtos, de uso restrito a cirurgiões-dentistas, são capazes de quebrar as moléculas de pigmento que estão impregnadas no esmalte dental, promovendo um clareamento profundo e duradouro. Nós personalizamos a concentração do gel e o tempo de tratamento para cada paciente, buscando o equilíbrio perfeito entre o máximo de resultado estético e o mínimo de sensibilidade dentária. O padrão de qualidade Fama Odonto é garantir que seu tratamento em Curitiba seja não apenas eficaz, mas também confortável e seguro do início ao fim.
Nossas Opções de Clareamento Dental em Curitiba
Entendendo que cada paciente tem uma necessidade e uma rotina, oferecemos duas modalidades de clareamento profissional supervisionado.
Clareamento de Consultório (a Laser/LED)
Ideal para quem vive a vida agitada de Curitiba e busca resultados impactantes em pouco tempo. Este procedimento é realizado inteiramente em nossa clínica no Boqueirão, em uma ou duas sessões de aproximadamente uma hora. Após proteger cuidadosamente as gengivas e os lábios, aplicamos um gel de alta concentração sobre os dentes. Uma fonte de luz de LED ou laser é utilizada para acelerar e potencializar a ação do gel, quebrando os pigmentos de forma mais rápida. É a escolha perfeita para quem tem um evento especial, como um casamento ou formatura, e deseja um sorriso visivelmente mais branco de forma imediata. Ao final da sessão, o paciente já percebe uma diferença notável na cor dos dentes.
Clareamento Caseiro Supervisionado
Esta modalidade une a conveniência de clarear os dentes em casa com a segurança do nosso acompanhamento profissional. O tratamento começa em nosso consultório no Boqueirão, onde realizamos um escaneamento digital para confeccionar moldeiras de silicone perfeitamente adaptadas à sua arcada dentária. Você recebe um kit com géis clareadores de menor concentração e todas as instruções para aplicá-lo em casa, geralmente por algumas horas durante o dia ou para dormir, por um período de duas a três semanas. Com retornos programados à nossa clínica, monitoramos o progresso do clareamento, garantindo que o resultado seja alcançado de forma gradual, controlada e segura. É um método que proporciona resultados excelentes e duradouros, com grande conforto para o paciente.
Seu sorriso merece FAMA
Fale conosco hoje mesmo e comece a sentir orgulho dos seus dentes e do seu sorriso!
Me interesseiO que nossos pacientes Dizem
Perguntas Frequentes sobre Clareamento Dental
Clareamento dental enfraquece os dentes?
Não. Este é um mito. Quando realizado com a técnica correta e sob supervisão de um dentista em Curitiba, o clareamento é um procedimento seguro que não causa dano ou enfraquecimento à estrutura do esmalte dental.
O tratamento causa muita sensibilidade?
Uma sensibilidade leve e temporária pode ocorrer, mas utilizamos produtos com agentes dessensibilizantes que minimizam muito esse efeito. Caso ocorra, a sensação desaparece em até 48 horas após a aplicação. Na Fama Odonto, a gestão do seu conforto é prioridade.
Quanto tempo dura o resultado do clareamento?
A durabilidade varia de 1 a 2 anos, dependendo dos seus hábitos. O consumo frequente de bebidas como café e vinho pode diminuir este tempo. Recomendamos manutenções anuais e limpezas regulares em nossa clínica no Boqueirão para preservar o sorriso branco por mais tempo.
estamos esperando por você no boqueirão
Na FAMA ODONTO, acreditamos que um sorriso saudável começa com um atendimento humanizado e profissionais que realmente se importam com você. Nossa equipe é formada por dentistas experientes e comprometidos, que unem conhecimento técnico, carinho no atendimento e paixão pela odontologia.
Contamos com uma equipe completa e qualificada, composta por:
- Clínicos Gerais, que cuidam da saúde bucal de forma preventiva e resolvem as necessidades do dia a dia;
- Ortodontistas, especializados em alinhar sorrisos com segurança e responsabilidade;
- Especialistas em Prótese, que devolvem a função e a estética do seu sorriso com naturalidade;
- Implantodontistas e Buco Maxilos, que realizam procedimentos cirúrgicos com técnica e precisão.
Além dos profissionais da odontologia, temos uma equipe de apoio sempre pronta para oferecer um atendimento atencioso, organizado e acolhedor desde o primeiro contato.
Nosso compromisso é oferecer um tratamento ético, acessível e de qualidade, para que você e sua família se sintam seguros em cada etapa do atendimento.
Nossas redes sociais
Converse conoscoQuer dar o primeiro passo?
Não perca tem po e converse conosco hoje mesmo!
A FAMA ODONTO está sempre de portas abertas esperando salvar seu sorriso.

















